• Tel
曾安牙醫 矯正診所
Dr.Tseng’s Orthodontiic Clinic
  • 繁中
  • EN
  • About Us
  • Doctors
  • Services
  • Consultation
  • Reviews
  • Contact Us

Services

  • Various types of orthodontic cases: no surgery required, and no mini-screws needed.
  • Facial profile transformation through orthodontic treatment
  • Temporomandibular Joint Disorder (TMD)
  • Obstructive Sleep Apnea (OSA)

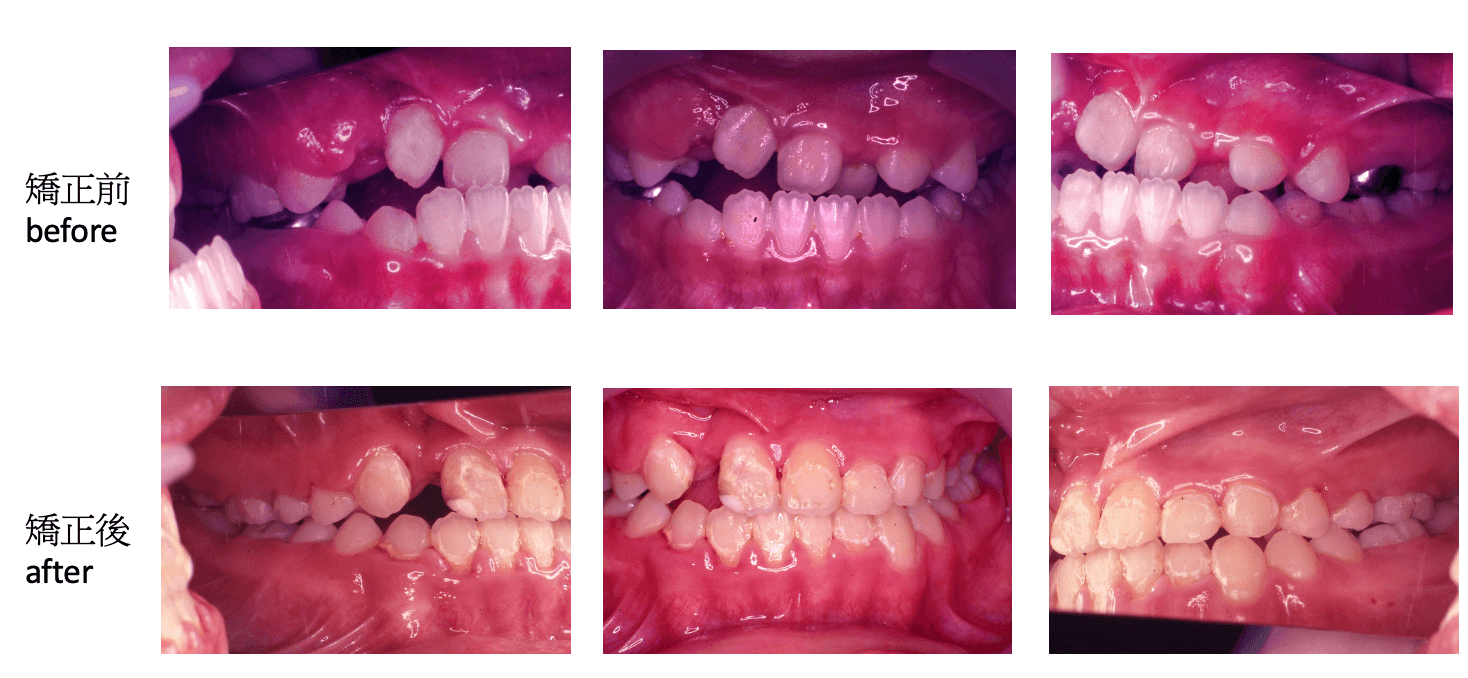
Cleft palate case

  •  
  •  
  •  
返回列表
Dr.Tseng's Orthodontic Clinic
Phone:02-27415646.02-27116138Fax:02-27409529
Address:3F-1, No. 306, Guangfu South Road, Taipei City, Taiwan
Dr. Tseng's Orthodontic Clinic. All rights reserved. Unauthorized use or reproduction is prohibited. | 網頁設計